• Technion – Israel Institute of Technology
  • The Andrew & Erna Viterbi Faculty of Electrical and Computer Engineering
לוגו VISL
לוגו הטכניון
  • Home
    • Lab staff
    • Lab Activity
  • Research
    • Faculty
    • Prof. Yehoshua Y. Zeevi
    • Prof. Yoav Y. Schechner
    • Prof. Guy Gilboa
    • Prof. Anat Levin
    • – ERC 635537
    • Prof. Moshe Porat
    • Ollendorff Center
  • Teaching
    • Lab Experiment Courses
    • Project Archive
    • Project Awards
    • Project supervisors
    • Active Project Proposals
  • Robin Project
  • Student Info
    • PC Workstations
    • Project Procedures
    • Special Equipment
    • Briefings
  • Lab Rooms
    • All Lab Rooms
    • Room 611
  • Lab Staff Admin

Projects

Description.

  • Stocks Prices Prediction using Current Affairs

    In this project, we checked the possibility of predicting stock prices using current affair events, which is expressed by words’ commonness in internet blogs and forums.
  • Eyelid Marking Tool

    In this project, an application was built for marking eyelids in eye images from an IR video camera. The application shall be used in order to manually build a data base of marked eye lids.
  • Changes in Heart Cells

    At the connection points between grown heart cells lays a protein, called connexin 43, which is used as a conductor of the electrical signal in the heart.
  • Voice Recognition using Neural Networks

    Voice recognition is a major problem nowadays. Until now this problem wasn't solved completely. We will try to approach this problem in a new way using neural networks.
  • Power Management using Neural Networks

    This project simulate power management on a cpu using behavioral model of biological neuron networks to perform prediction of the power load.
  • String Matching using Neural Network Architecture

    Neural microcircuits are basic components of human brain and biological mechanisms, responsible for reflexes.
  • Voice Recognition by a Realistic Model of Biological Neural Networks

    Voice Recognition by a Realistic Model of Biological Neural Networks

    Abstract In this project, a new model for a voice recognition system is suggested. The model is based on a realistic model of neural networks, and it integrates principles from the theories of chaotic systems and Liquid State Machine. The model was implemented in MATLAB, and several tests were performed on it. The task of the system in those tests was to recognize a voice of a specific person (a...
  • Vehicle Velocity Measurement by Video Camera for “”Smart Junction”” and for Law Enforcement Applications

    Many accidents happen as a result of problematic field of view in a junction with no traffic lights.
  • Form Processing: Automatic Recognition of ID Numbers in Scanned Forms

    Form processing is a process whereby information entered into data fields is converted into electronic formץ
  • Automatic Traffic Light For Pedestrians

    Most solutions to similar problems such as the automatic traffic light for pedestrians requires object detection and tracking algorithms. In this work detection is made on a gray level images.
  • Application for Smart Parking-Lot Control

    In the framework of developing a control system for a parking-lot, it is important to know the number of vehicles parking in the different areas of the lot.
  • Depth Driven Image Focusing

    Short-range images acquired using a regular camera usually contain objects that are focused but also blurry objects due to the physical limitations of the lens and imaging system.
  • Speech Recognition

    Hardware that recognize speech signals from finite vocabulary has a few uses today e.g. automatic dialing from a cell phone
  • Shortest Geodesics on Polyhedral Surfaces

    In the field of medical imaging, it is often necessary to extend a three dimensional surface to a two dimensional one, in order to enable doctors to print and examine planar medical images.
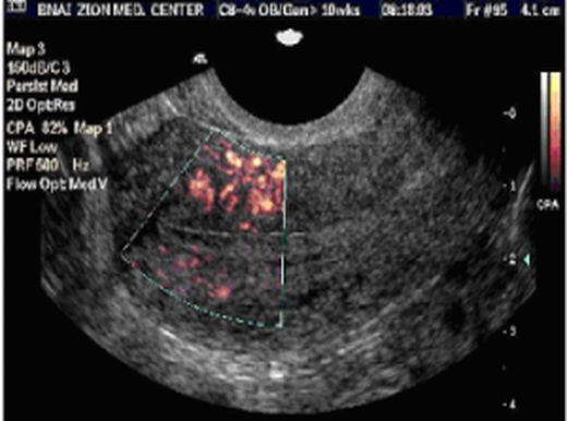
  • Computerized Texture Analysis Of Ovarian Tumors through Ultrasound Image

    Ultrasound image processing is a vast, complicated field, which involves coping with a large variety of problems.
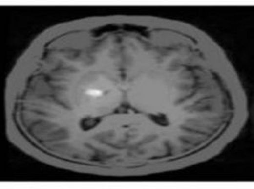
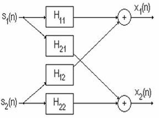
  • Blind Source Separation of MRI

    This project addresses the application of a geometric multiscale framework Blind Source Separation (BSS) on Magnetic Resonance Imaging (MRI).
  • Pre-Treatment Prediction of Brain Tumors’ Response to Radiation Therapy Using Tumor Complexity Analysis in MRI

    Several magnetic resonance (MR) methods have been suggested recently as having potential for prediction of tumor response to treatment.
  • Road Sign Recognition In Real-Time

    When driving, recognizing the road signs is crucial for safely reaching one's destination. An automatic system that alerts the driver about road signs may be helpful and might help save lives.
  • Speech Recognition With the Use of Hidden Markov Models

    Speech Recognition has been around for decades and, slowly but surely, has integrated itself into a number of applications including: cellular phones, computer interfaces, military intelligence, etc.
  • Gait Analysis

    Many neurological diseases, including Parkinson Disease (PD), affect the patient's gait.
  • Biologically Motivated Neural Network Architectures

    In the project, we tried to achieve collaboration between the electrical engineering faculty and the faculty of biology, by combining methods of electrical engineering with the knowledge of biology.
  • Examination of the Effect of Audio Signals on Neural Activity of Newborns

    In this project we intend to examine the influence of music (of different kinds) on new-born babies.
  • Recognition of Emotions from Physiological Signals

    The purpose of this project was to examine whether and how emotions have influence on physiological signals and to develop a method to classify certain emotions by a set of such signals.
  • Biologically Motivated Object Recognition

    Biologically Motivated Object Recognition

    In this project, we checked the possibility of using "biological' features, which bears resemblance to the visual preprocessing pathways and Biological Neural Networks to analyze the complex multi-dimensional features for purposes of data recognition and classification. This project includes complex data analysis, adaptation of visual features to the neural microcircuit and comparison of the results to baseline algorithms.
  • Producing 2D Canonical Images Using Depth Images

    There is a growing interest around the world today in surveillance and detection of people, especially in the face recognition department.
  • EigenFaces Based Normalization

    The purpose of this project is to enable face recognition from one 2D image when there already exists a database of canonical images – one per subject. We chose to start from the EigenFaces algorithm.
  • Mesh Manipulation Toolbox for Matlab

    Mesh is a 3D object constructed from polygons (named faces) that share edges. Matlab contains functions for plotting 3d objects, specifically meshes.
  • Application of Biological Neural Networks in Reinforcement Learning Problems

    The liquid state machine (LSM) is a mathematical model of a "liquid computer". A LSM consists of some liquid which transforms the input time series u(t) into "liquid states" x(t).
  • Frequency and Selective Adaptation in Biological Realistic Neural Networks

    Frequency and Selective Adaptation in Biological Realistic Neural Networks

    Biological neural networks are the basic foundation to the great computational ability of the brain. Every biological unit contains neuron & synapses nets. The assumption is that if we will succeed in reflecting precisely the neural network in a computational model, we will be able to understand the entire brain behavior and to reconstruct its abilities. This project come to explore the neuron itself, and its behaviour as part of...
  • Mathematical Analysis of Neural Networks Dynamics

    In this project we intended to investigate and analyze neural networks signal propagation with mathematical and experimental examination.
  • Chaos & Separation in Biological Neural Networks

    Biological neural networks as non-linear systems with numerous degrees of freedom have high tendency for chaotic behavior.
  • Learning by Dispersion

    In recent years, considerable effort has been directed toward the identification of neural structures and mechanisms responsible for rewarding adaptive behaviors.
  • Robocar – An Autonomous Robotic Vehicle

    Robocar is essentially a robot which uses an iPAQ for brain, a small camera for eyes and a LEGO Mindstorms vehicle to move around.
  • Ultrasound Software – Computerized Assessment of Power Doppler Tissue Signals

    The Ultrasound device is an acceptable tool for diagnosis of variety of medical problems.
  • Smart Tracking of Autonomous Vehicles

    4 robots are playing a soccer game, the robots are autonomously controlled, the data is transmitted by RF to the robots, the data is received from a overhead camera.
  • Algorithms for Passengers Movement Tracking

    The final goal of this project was to develop an autonomous vehicle that uses a small camera and a Pocket PC computer to track and follow a walking person.
  • Analysis of Behavior of Fish in Aquarium

    Animal behavior can be researched and classified to detect future events of nature. The most common example is of animal behaving different than usual before an earthquake.
  • Detection of Man Made Objects from Satellite Images IV

    The detection of man made objects in images is a complex problem in the image processing area which has many applications.
  • Analysis of Music Influence on Physiological Signals of Newborn

    Music influence on people was noticed long time ago. Psychologists look for visual and behavioral effects to explain music influence.
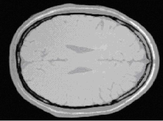
  • Blind Source Separation for MRI Images

    The MRI images at the focus of this project are of the brain's axial slices. The brain mostly contains two types of substances: water and fat.
  • “Drowsy Driver Detection” Project

    This paper proposes a video based method of driver drowsiness detection using a SVM classifier. The SVM classifier uses several physiological features extracted from the video input.
  • Man-Made Object Recognition in Satellite Images

    The goal of this project is developing an automatic image processing algorithm that enables scanning digital satellite images and recognizing artificial (man-made) objects in them (buildings clusters)
  • Speech Recognition using SVM

    Speech Recognition project was developed as a specified tool for handling computers applications.
  • Handwriting Recognition

    Our project implements a handwriting recognition system. Our system is made of a hierarchical multiclass SVM based classifier which tries to classify each of the input letters by itself.
  • Learning to Remove Internet Advertisment

    How many times have you entered a web page in the Internet, but instead of easily read the page content, annoying advertisements drew away your attention?
  • Digital Terrain Model Matching

    The area of Digital Terrain Model matching has been neglected for the last decade. Not many have tried to deal with this interesting and practical problem.
  • LEGO Vehicle Navigating Through Roads and Traffic Signs to a Given Destination

    The objective of this project was to create an automated vehicle, which navigates according to both a route and traffic signs.
  • Detecting and Tracking People in a Public Area

    The need for smarter and better security solutions has increased dramatically in the last several years following the wave of global terrorism and rising crime.
  • Detection And Identification Of License Plates In Moving Vehicles From Video Movies

    Recognition of motor vehicles has many uses, for example in law reinforcement, security, control of traffic.
  • Speaker Independent Isolated Digit Recognition using Hidden Markov Models

    The most common way of giving commands to your computer is, for today, the keyboard. This way keeps your hands constantly working whenever you want to communicate with your PC.
  • The Influence of music upon New Borns

    The Influence of music upon New Borns

    In this unique project we have tried to study the influence of music upon infants – newborns . We have tested the EEG signals from the babies mind while listening to a variety of musical pieces
  • BEARI – Bronchi Evaluation of Asthmatic Reaction by Interface

    We bring here a novel way to analyze and evaluate asthmatic reaction of histological images with computer vision techniques.
  • BIO-MECHANICAL Arm Movement

    Our main objective in this project was to investigate the abilities of a simple neural network to control arm movements.
  • Blind Separation of Sources in FMRI Sequences Using Sparse ICA

    Functional Magnetic Resonance Imaging is an important and useful tool for exploring the human brain activity.
  • Driving Assistance System: Speed Estimation by Video Camera Installed in a Car

    The VISL lab in the Technion conducts a research concerning driving assistance aids.
  • Illumination from Shadows

    The purpose of this project is to implement a proposal in which the illumination distribution of a real scene is estimated from the shadow cast by a known object.
  • Rendering of Underwater Effects

    A good shading model is a crucial component when one wants to render a realistic scene. This is especially true when attempting to render an underwater image due to the various optical effects.
  • Hand Writing Conversion to Text Files Using SVM Classifier

    This project presents a procedure for conversion of scanned documents that are either hand-written or typescript, to a digital format (text file), available for use on every personal computer.
  • Learning How to Inpaint from Global Image Statistics

    Inpainting is the problem of filling in missing regions in images. Many techniques solve this problem in a local manner, using the boundary of the hole and assuming a prior model of the image.
  • Detecting Face Orientation

    This project deals with the problem of Detecting Face Orientation from a video input.
  • Reinforcement Learning Octupus Arm Utilizing On-Line GPTD

    The octopus arm is known for its unique muscular hydrostat structure - it applies force with the sole use of muscles, without any rigid skeletal support.
  • Biological Realistic Neural Network Simulation

    Biological Realistic Neural Network Simulation

    While creating large neural network models, finding network behaviors similar to those found in biological experiments, assuming reproducing biological brain computational power as an ultimate goal, could mark milestone on a way of building neural network simulations of a greater power. Neuron selective adaptation, which we describe further, was chosen as main target phenomenon for this study. Though a neuron selective adaptation was studied biologically [1], generic artificial networks, which...
  • A Real-time Vehicle License Plate Recognition System

    A license plate recognition system is an automatic system that is able to recognize a license plate number, extracted from a video device. Such a system is useful in many fields and places: parking lots, private and public entrances, border control, theft and vandalism control, etc. This project focuses on implementing a system that will be used in a private entrance, allowing only authorized cars to pass. The project has...
  • License Plate Recognition Using Image Processing Techniques & SVM Classifier

    One of the things necessary for designing a completely automatic system for opening a gate (for the faculty parking lot, in our case) without installing a signal transmitter in each car.
  • Automatic Detection of TV Commercials

    This project deals with Automatic Detection of Commercials Blocks. One of the most frustrating problems a TV viewer has to deal with is the vast number of commercials.
  • Virtual Boat to Explore Bimanual-Adaptation

    The purpose of the “Virtual boat to explore bimanual adaptation” project is to help understanding the adaptation of the brain to changes in its visual input.
  • Early detection of Myocardial Infraction by Blind Source Separation of ECG Signals

    The objective of this project is to try and manipulate the ECG signals that we have in order to achieve an easy way for identifying heart disease.
  • Man-Machine Interface for Training Difficult Rhythms

    The goal of our project is to provide a program written in Visual C++ working environment that would help proving the theory behind the project.
  • Electro-Oculography (EOG) Measurement System

    This project proposes to build human-computer interface based on eye movement detection.
  • Application of ICA in Removing Artifacts from the ECG

    Action potential propagation through the heart generates electrical currents thet can be detected at the surface of the body. A recrding of these electrical changes is called ECG
  • Shadow Detection and Removal Research

    The area of shadow detection and removal has made great progress in recent years and many works and papers try to deal with this difficult but yet intriguing problem.
  • Deriving Intrinsic Images from Image Sequences

    The objective of the project is to implement and study the efficiency of two algorithms for the extraction of shadow free images.
  • Face Detection & Recognition

    As one of the most successful areas in computer vision, the detection and recognition of computer faces has produced a growing amount of attention.
  • Converting Scanned Document to Text File by Using SVM Classifier

    Converting Scanned Document to Text File by Using SVM Classifier

    This project presents a procedure for conversion of scanned documents to a digital format (text file), available for use on every personal computer.
  • Iris Recognition

    The security demands are increasing nowadays and finding useful trustful algorithms to prevent/identify unwelcome visitors is very important.
  • Car Thefts Detection

    In this project we develop an algorithm intends to detect car thefts. The system uses a stationary camera.
  • Compatible Segmentation

    Image segmentation has been exhaustively researched in the past 20 years. Recently, some 3D mesh segmentation algorithms were introduced.
  • Dimensionality Reduction for Classification Problems

    The main goal of the project is to examine a new algorithm for dimensionality reduction.
  • Hyperspectral Analysis using BSS with Sparse Representations

    At the last 10 years the technology has grown, and gave us some instruments which were not available before.
  • Space-Time Super Resolution in Video

    Space-Time Super Resolution is the increase of temporal and spatial resolution in video, using multiple video sequences describing the same event.
  • 3D Reconstruction of a Scene from a Pair of Images

    In this project we designed a system for 3D reconstruction from a given pair of images, based on A-Priori information about the parameters of the cameras.
  • Periodicity and Structure of DNA Sequences Using Signal Processing Methods

    It is known that all characteristics of living beings are determined by the gene sequences.
  • Blind Image Deconvolution

    The objective of this project is to realize an algorithm for a blind restoration of image by using the Total Variation regularization.
  • Recognition of Brain Tissues, Coloring of Magnetic Resonance Images using SVM

    The MRI (Magnetic Resonance Imaging) is based on a stimulation of hydrogen molecules in a tissue by a specific radio frequency
  • Blind Source Separation of Brain Signals

    Blind source separation(BSS) is a well known problem which has implemantation in many different fields, like audio signals.
  • Logical Interface To Real Neural Culture

    A key challenge for neural modeling is to understand how a continuous stream of multi-modal input from a rapidly changing environment can be processed.
  • Enhanced Visual Field Analyzer

    "Visual Field Analyzer" or VFA is a device used by ophthalmologist for mapping a patient's field of vision.
  • Map Digitizing

    The aim of this project is to convert a scanned topographic map into digitized data.
  • Autonomic Vehicle Based on LEGO Robot, iPAQ Pocket PC and Miniature Camera

    The aim of this project is to build a robot that will use an image processing algorithm for navigation purposes.
  • Navigating of Autonomous Vehicle According to Vision

    The goal of this project is to build a robot that will use an image processing algorithm for navigation purposes.
  • Real Time Gesture Recognition

    The goal of this project is to develop a computer program implementing gesture recognition in real time.
  • Autonomous Vehicle Navigation, through Corridor using Computer Vision

    Robot navigation through corridor using computer vision is known and important problem. Given ultimate solution to this problem, building indoor robots will be easier.
  • Realtime License Plate Detection Application

    Our project is a simple system which is able to detect car licenses plates and enable to add later a module for the recognition of the numbers of the plate.
  • Navigation of LEGO Vehicle in a Parking Lot

    A Lego vehicle enters a parking lot. As soon as it enters a camera's system range the system "takes over" the vehicle and parks it safely in a free parking spot.
  • Simulation of Biological Realistic Neural Network

    A major problem in computational neuro-biology is to measure the computational power of neural networks (natural or simulated).
  • Video Textures

    In this project, we introduce a new medium, called "Video Texture" .The video texture incorporates the qualities of images and video.
  • Vision Through Mist

    The BSS technique, which we will talk about with more depth later on, is a world-wide known technique used to separate a number of signal sources from a number of mixtures.
  • Pupil Response Lie Detector

    The original idea of this project was to create a home lie detect application. This is of course very complicated platform, which will take long development period.
  • Chess Recognition & Tracking

    The goal of our project was to build an automatic tracking system for identifying a chess game. Our system should identify the move in the game
  • Driving Assistance System: Speed Estimation by Video Camera Installed in a Car

    One of the steps towards designing innovative driving assistance system installed in a car is perfectly estimating the velocity of the driving car in any situated moment.

Posts navigation

Older posts
Newer posts
  • Accessibility Statement
Facebook
VISL - Contact: jo@technion.ac.il | Powered byFatfish